First
Case of Extremely Drug-resistant Tuberculosis in the
U.S.
 |
 |
 |
 |
 |
 |
 |
SUMMARY:
Public health officials have identified
the first case of extremely
drug resistant tuberculosis, or XXDR-TB,
in the U.S., according to a recent report
by the Associated Press. The case occurred
in a young Peruvian man visiting Florida.
Multidrug-resistant tuberculosis (MDR-TB),
which is resistant to the first-line drugs
most often used to treat the disease, is
now common; extensively drug-resistant tuberculosis
(XDR-TB), which is also resistant to some
second-line agents, has also been reported
throughout the world. So far, however, XXDR-TB
-- which is resistant to even more drugs
and is therefore very difficult to treat
-- remains rare. |
|
 |
 |
 |
 |
 |
 |
 |
Below
is a reprint of the Associated Press story by Margie
Mason and Martha Mendoza that was published in several
newspapers on December 27, 2009.
First
Case of Highly Drug-Resistant TB Found in U.S.
By
Margie Mason and Martha Mendoza, Associated Press
Writers
Lantana, Fla. -- It started with a cough, an autumn
hack that refused to go away.
Then came the fevers. They bathed and chilled the
skinny frame of Oswaldo Juarez, a 19-year-old Peruvian
visiting to study English. His lungs clattered, his
chest tightened and he ached with every gasp. During
a wheezing fit at 4 a.m., Juarez felt a warm knot
rise from his throat. He ran to the bathroom sink
and spewed a mouthful of blood.
I'm dying, he told himself, "because when you
cough blood, it's something really bad."
It was really bad, and not just for him.
Doctors say Juarez's incessant hack was a sign of
what they have both dreaded and expected for years
-- this country's first case of a contagious, aggressive,
especially drug-resistant form of tuberculosis. The
Associated Press learned of his case, which until
now has not been made public, as part of a six-month
look at the soaring global challenge of drug resistance.
Juarez's strain -- so-called extremely drug-resistant
(XXDR) TB -- has never before been seen in the U.S.,
according to Dr. David Ashkin, one of the nation's
leading experts on tuberculosis. XXDR tuberculosis
is so rare that only a handful of other people in
the world are thought to have had it.
"He is really the future," Ashkin said.
"This is the new class that people are not really
talking too much about. These are the ones we really
fear because I'm not sure how we treat them."
Forty years ago, the world thought it had conquered
TB and any number of other diseases through the new
wonder drugs: Antibiotics. U.S. Surgeon General William
H. Stewart announced it was "time to close the
book on infectious diseases and declare the war against
pestilence won."
Today, all the leading killer infectious diseases
on the planet -- TB, malaria and HIV among them --
are mutating at an alarming rate, hitchhiking their
way in and out of countries. The reason: Overuse and
misuse of the very drugs that were supposed to save
us.
Just as the drugs were a manmade solution to dangerous
illness, the problem with them is also manmade. It
is fueled worldwide by everything from counterfeit
drugmakers to the unintended consequences of giving
drugs to the poor without properly monitoring their
treatment. Here's what the AP found:
 |
In
Cambodia, scientists have confirmed the emergence
of a new drug-resistant form of malaria, threatening
the only treatment left to fight a disease that
already kills 1 million people a year. |
 |
In
Africa, new and harder to treat strains of HIV
are being detected in about 5 percent of new patients.
HIV drug resistance rates have shot up to as high
as 30 percent worldwide. |
 |
In
the U.S., drug-resistant infections killed more
than 65,000 people last year -- more than prostate
and breast cancer combined. More than 19,000 people
died from a staph infection alone that has been
eliminated in Norway, where antibiotics are stringently
limited. |
"Drug
resistance is starting to be a very big problem. In
the past, people stopped worrying about TB and it
came roaring back. We need to make sure that doesn't
happen again," said Dr. Thomas Frieden, director
of the U.S. Centers for Disease Control and Prevention
[CDC], who was himself infected with tuberculosis
while caring for drug-resistant patients at a New
York clinic in the early '90s. "We are all connected
by the air we breathe, and that is why this must be
everyone's problem."
This April, the World Health Organization [WHO] sounded
alarms by holding its first drug-resistant TB conference
in Beijing. The message was clear -- the disease has
already spread to all continents and is increasing
rapidly. Even worse, WHO estimates only 1 percent
of resistant patients received appropriate treatment
last year.
"We have seen a huge upburst in resistance,"
said CDC epidemiologist Dr. Laurie Hicks.
Juarez' strain of TB puzzled doctors. He had never
had TB before. Where did he pick it up? Had he passed
it on? And could they stop it before it killed him?
At first, mainstream doctors tried to treat him. But
the disease had already gnawed a golf-ball-sized hole
into his right lung.
TB germs can float in the air for hours, especially
in tight places with little sunlight or fresh air.
So every time Juarez coughed, sneezed, laughed or
talked, he could spread the deadly germs to others.
"You feel like you're killing somebody, like
you could kill a lot of people. That was the worst
part," he said.
Tuberculosis is the top single infectious killer of
adults worldwide, and it lies dormant in one in three
people, according to WHO. Of those, 10 percent will
develop active TB, and about 2 million people a year
will die from it.
Simple TB is simple to treat -- as cheap as a $10
course of medication for six to nine months. But if
treatment is stopped short, the bacteria fight back
and mutate into a tougher strain. It can cost $100,000
a year or more to cure drug-resistant TB, which is
described as multi-drug-resistant (MDR), extensively
drug-resistant (XDR) and XXDR.
There are now about 500,000 cases of MDR tuberculosis
a year worldwide. XDR tuberculosis killed 52 of the
first 53 people diagnosed with it in South Africa
three years ago.
Drug-resistant TB is a "time bomb," said
Dr. Masae Kawamura, who heads the Francis J. Curry
National Tuberculosis Center in San Francisco, "a
manmade problem that is costly, deadly, debilitating,
and the biggest threat to our current TB control strategies."
Juarez underwent three months of futile treatment
in a Fort Lauderdale hospital. Then in December 2007
he was sent to A.G. Holley State Hospital, a 60-year-old
massive building of brown concrete surrounded by a
chain-link fence, just south of West Palm Beach.
"They told me my treatment was going to be two
years, and I have only one chance at life," Juarez
said. "They told me if I went to Peru, I'm probably
going to live one month and then I'm going to die."
Holley is the nation's last-standing TB sanitarium,
a quarantine hospital that is now managing new and
virulent forms of the disease.
Tuberculosis has been detected in the spine of a 4,400-year-old
Egyptian mummy. In the 1600s, it was known as the
great white plague because it turned patients pale.
In later centuries, as it ate through bodies, they
called it "consumption." By 1850, an estimated
25 percent of Europeans and Americans were dying of
tuberculosis, often in isolated sanatoriums like Holley
where they were sent for rest and nutrition.
Then in 1944 a critically ill TB patient was given
a new miracle antibiotic and immediately recovered.
New drugs quickly followed. They worked so well that
by the 1970s in the U.S., it was assumed the disease
was a problem of the past.
Once public health officials decided TB was gone,
the disease was increasingly missed or misdiagnosed.
And without public funding, it made a comeback among
the poor. Then immigration and travel flourished,
breaking down invisible walls that had contained TB.
Drug resistance emerged worldwide. Doctors treated
TB with the wrong drug combinations. Clinics ran out
of drug stocks. And patients cut their treatment short
when they felt better, or even shared pills with other
family members.
There are two ways to get drug resistant TB. Most
cases develop from taking medication inappropriately.
But it can also be transmitted like simple TB, a cough
or a sneeze.
In the 1980s, HIV and AIDS brought an even bigger
resurgence of TB cases. TB remains the biggest killer
of HIV patients today.
For decades, drug makers failed to develop new medicines
for TB because the profits weren't there. With the
emergence of resistant TB, several private drug companies
have started developing new treatments, but getting
an entire regimen on the market could take 24 years.
In the meantime, WHO estimates each victim will infect
an average of 10 to 15 others annually before they
die.
A.G. Holley was back in business.
Holley's corridors are long and dark, with fluorescent
tubes throwing harsh white light on drab walls. One
room is filled with hulking machines once used to
collapse lungs, sometimes by inserting ping pong balls.
Antique cabinets hold metal tools for spreading and
removing ribs -- all from a time when TB was rampant
and the hospital's 500 beds were filled.
Only 50 beds are funded today, but those are mostly
full. More than half the patients are court-ordered
into treatment after refusing to take their meds on
the outside.
Juarez came voluntarily. In the beginning, he was
isolated and forced to wear a mask when he left his
room. He could touch his Peruvian family only in pictures
taped to the wall. He missed his dad, his siblings,
his dog, his parrot, and especially his mother.
"I was very depressed," he said. "I
had all this stuff in my mind."
He spent countless hours alone inside the sterile
corner room reserved for patients on extended stays
-- dubbed "the penthouse" because it is
bigger and lined by a wall of windows.
His moods ran hot and cold. He punched holes in the
walls out of frustration, played loud reggaeton music
with a thumping beat and got into fights with other
patients. He covered his door's small window with
a drawing of an evil clown to keep nurses from peering
inside. He made friends with new patients, but was
forced to stay long after many of them came, got cured,
and left.
Early on, Juarez's treatment was similar to chemotherapy.
Drugs were pumped into his bloodstream intravenously
three times a day, and he choked down another 30 pills,
including some that turned his skin a dark shade of
brown. He swallowed them with spoonfuls of applesauce,
yogurt, sherbet and chocolate pudding, but once they
hit his stomach, waves of nausea sometimes sent him
heaving. He would then have to force them all down
again.
"When he first came in we really had to throw
everything and the kitchen sink at him," said
Ashkin, the hospital's medical director, who experimented
on Juarez with high doses of drugs, some not typically
used for TB. "It was definitely cutting edge
and definitely somewhat risky because it's not like
I can go to the textbooks or... journal articles to
find out how to do this."
After 17 years of handling complex cases -- including
TB in the brain and spine -- Ashkin had never seen
a case so resistant. He believed he would have to
remove part of Juarez's lung.
Ashkin dialed Peru to talk to the young man's father.
It's a rare disease, said Ashkin, hard to define.
Your son is one of two people in the world known to
have had this strain, he said.
"What happened to the other person?" his
father asked.
"He died."
Juarez's adventure in the U.S. had turned into a medical
nightmare.
About 60 million people visit the U.S. every year,
and most are not screened for TB before arrival. Only
refugees and those coming as immigrants are checked.
The top category of multidrug-resistant patients in
the U.S. -- 82 percent of the cases identified in
2007 -- was foreign-born patients, according to the
CDC.
The results are startling among those tested, said
Dr. Angel Contreras, who screens Dominicans seeking
to enter the U.S. on immigrant visas. The high rate
of MDR-TB in the Dominican Republic coupled with high
HIV rates in neighboring Haiti are a health crisis
in the making, he said.
"They're perfect ingredients for a disaster,"
he said.
Juarez's homeland, Peru, is also a hotspot for multidrug-resistant
TB. DNA fingerprinting linked his disease to similar
strains found there and in China, but none with the
same level of resistance.
"So the question is: Is this a strain that's
evolving? That's mutating? That's becoming more and
more resistant?" asked Ashkin. "I think
the answer is yes."
Doctors grappling with these new strains inadvertently
give the wrong medicines, and so the TB mutates to
become more aggressive and resistant.
Poor countries also do not have the resources to determine
whether a patient's TB is drug-resistant. That requires
sputum culturing and drug-susceptibility testing --
timely, expensive processes that must be performed
in capable labs. WHO is working to make these methods
more available in high-risk countries as well as negotiating
cheaper prices for second-line drugs.
"There's a lot of MDR and XDR-TB that hasn't
been diagnosed in places like South Africa and Peru,
Russia, Estonia, Latvia," said Dr. Megan Murray,
a tuberculosis expert at Harvard. "We think it's
a big public health threat."
Experts argue if wealthy countries do not help the
worst-hit places develop comprehensive TB programs,
it puts everyone at risk.
"You're really looking at a global issue,'"
said Dr. Lee Reichman, a TB expert at the New Jersey
Medical School Global Tuberculosis Institute. "It's
not a foreign problem, you can't keep these TB patients
out. It's time people realize that."
Juarez spent a year and a half living alone in a room
plastered with bikini-clad blondes, baseball caps
and a poster of Mt. Everest for inspiration. There
were days when he simply shut down and refused his
meds until his family convinced him to keep fighting.
"I was thinking that maybe if I need to die,
then that's what I need to do," he said, perched
on his bed in baggy jeans. "I felt like: 'I'm
never going to get better. I'm never going to get
out of here.'"
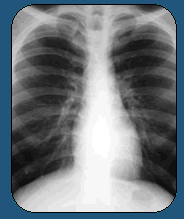
When put side by side, his CAT scans from before and
after treatment are hard to believe. The dark hole
is gone, and only a small white scar tattoos his lung.
"They told me the TB is gone, but I know that
TB, it doesn't have a cure. It only has a treatment
like HIV," he said, his English now fluent and
his body weight up 32 pounds from when he first arrived.
"The TB can come back. I saw people who came
back to the hospital twice and some of them died.
So, it's very scary."
His treatment cost Florida taxpayers an estimated
$500,000, a price tag medical director Ashkin says
seems like an astronomical amount to spend on someone
who's not an American citizen. But he questions how
the world can afford not to treat Juarez and others
sick with similar lethal strains.
"This is an airborne spread disease... so when
we treat that individual, we're actually treating
and protecting all of us," he said. "This
is true homeland security."
In July, at age 21 -- 19 months after checking in
-- Juarez swallowed his last pills, packed a few small
suitcases and wheeled them down the hospital's long
corridor.
The last time doctors saw him, he was walking out
of the sanitarium into south Florida's soupy heat.
Martha Mendoza is an AP national writer based in
Mexico City. Margie Mason is an AP medical writer
who worked on this project as a 2009 Nieman Global
Health Fellow with the Nieman Foundation at Harvard
University.
Multidrug-Resistant
Tuberculosis (MDR TB)
and Possible Effective Treatments
MDR
TB occurs when a Mycobacterium tuberculosis
strain is resistant to isoniazid and rifampin,
two of the most powerful first-line drugs.
To cure MDR TB, healthcare providers must
turn to a combination of second-line drugs,
several of which are shown here.
|
|
 |
1/05/10
Source
M
Mason and M Mendoza. First case of highly drug-resistant
TB found in US. San
Francisco Chronicle
(via Associated Press). December 27, 2009.
|
|
|